症例
- 横浜市桜木町の歯医者「みらい歯科」TOP
- 投稿情報
- 症例
- 【症例】コンポジットレジンとジルコニアによる前歯の修復治療
【症例】コンポジットレジンとジルコニアによる前歯の修復治療

2026.02.17
| 治療内容 | コンポジットレジンとジルコニアを用いた審美修復療法 |
|---|---|
| 期間 | 1ヶ月 |
| 治療回数 | 4回程度 |
| 費用(施術当時の料金) | ジルコニアセラミック 132,000円/1本(税込) コンポジットレジン充填(保険適用) ※症例や使用材料により自由診療となる場合がございます |
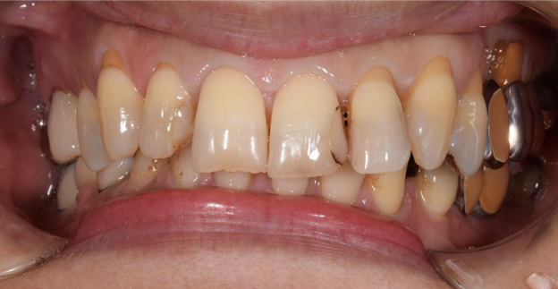
治療前の状態・主訴
患者様は60代の女性です。過去に前歯の治療を受けられており、近年になって修復物の劣化が気になるとのことで来院されました。
こちらが治療前の状態です。

主なお悩みは
・右上2番目の歯のプラスチックと、左上1番目の歯のプラスチックの変色・劣化
・左上2番目の前歯が前方に出ていること
でした。
レントゲン撮影および模型の採取を行い、歯周組織の状態や噛み合わせを確認したうえで治療の選択肢をご説明しました。
ご提案した治療方法
①矯正治療を行ったうえで被せ物で修復する方法
【特徴】
・歯並びが改善され、噛み合わせのバランスも良くなります。
・歯根の向きも整うため、各々の歯に無理な力がかかりづらくなります。
【注意点】
・矯正治療の費用および治療期間が別途必要となります。
②矯正治療を行わず、被せ物で修復する方法
【特徴】
・被せ物の費用のみで、比較的短期間での治療が可能です。
【注意点】
・歯の向きや歯根の向きは変わらず被せ物をするため、矯正治療する場合と比べて、審美的に綺麗な見た目にするためにより多くの歯を削る必要があります。
今回の治療方針
上記の特徴や注意点を踏まえて患者様とご相談させていただき、今回は矯正治療を行わず、被せ物とコンポジットレジンによる修復治療を行うことにしました。
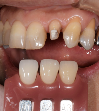
具体的には、左上2番目の出っ張ってしまっている歯に関しては切削して被せ物を装着し、他の劣化したプラスチックに関してはコンポジットレジンというプラスチックを用いてやり直しを行いました。
治療詳細
まず初回に採取した模型をもとに、矯正治療なしで行う場合、最終的には歯の形や噛み合わせがどのようになるかチェックします。
チェックした結果を元に下記のように治療を進めました。
①前歯の古いプラスチックを充填し直し、仮歯を装着します。
②色合わせのために写真を撮影します。

③ジルコニアセラミックを用いた被せ物を装着・最終調整します。
治療後の様子
こちらが治療後の状態です。

前歯の色調や形態のバランスが整い、患者様には満足していただけました。
主な副作用・リスク
・予後を完全に保証するものではありません。
・自由診療(保険外診療)での治療となります。
・神経の入っている歯に被せ物を行う場合、馴れ合うまで凍みる症状が出る場合もあります。
専門的な診査のもと、患者様一人ひとりに合った前歯治療をご提案します
昔治療した古い被せ物の劣化や歯並びで悩んでいる方は多いと思います。
前歯の歯並びや色の治療方法には、矯正治療(ワイヤー矯正やマウスピース矯正)、セラミックによる被せ物の治療、コンポジットレジンによる詰め物の治療、ホワイトニングなど様々な治療のプランが挙げられると思います。
今回の患者様にも矯正治療を含めたプランもご提案しましたが、年齢や予算も踏まえると矯正治療は望まれませんでした。時間と金額が許せば、左上2番目の歯は矯正治療の良い適応になり得るかと思います。
被せ物で直した代償として切削量は多くなりましたが、幸い歯の神経は保存したまま被せ物を装着することができました。またプラスチックの劣化に関しては、コンポジットレジンによるやり直しをしましたので、ほぼ切削することなくやりかえができました。
同じようなお悩みでも、年齢やお口の中の状況、予算等で治療プランは様々です。みらい歯科では、できる限り患者様それぞれにとって良い治療方法をご提案できたらと思っております。
前歯の見た目や古い被せ物の劣化などでお悩みの方は、どうぞお気軽にご相談ください。丁寧なカウンセリングを行い、ご納得いただいたうえで治療を進めてまいります。
こちらもご参照ください
みらい歯科 副院長 森
